Welcome to Dr. Shrey Shah's Neuro Spine Care

Health Information Repository

Find reliable health information, FAQs & resources on topics of your interest

Spondylolisthesis: Insights from Dr. Shrey Shah
Dr. Shrey Shah, a renowned neurosurgeon in Baner, Pune, offers specialized care for spinal conditions, including spondylolisthesis. This condition ...
Dr. Shrey Shah
Posterior Cervical Laminectomy and Fusion: Insights from Dr. Shrey Shah
Dr. Shrey Shah, a leading neurosurgeon in Baner, Pune, specializes in advanced surgical treatments for spinal conditions, including posterior cervi...
Dr. Shrey Shah
Restoring Control: Movement Disorder Surgery by Dr. Shrey Shah
Movement disorders such as Parkinson's disease and essential tremors can significantly impact an individual's quality of life. Dr. Shrey Shah, a ...
Dr. Shrey Shah
Transforming Lives: Epilepsy Surgery by Dr. Shrey Shah
Epilepsy surgery is a groundbreaking medical intervention that can offer relief to individuals with drug-resistant epilepsy. Dr. Shrey Shah, a dist...
Dr. Shrey Shah
Understanding Brain Tumors: Insights from Dr. Shrey Shah
Brain tumors are complex and often frightening conditions that require specialized care. Dr. Shrey Shah, a distinguished Neurosurgeon in Baner, off...
Dr. Shrey Shah
Tuberous sclerosis
Tuberous sclerosis
Tuberous sclerosis, also known as tuberous sclerosis complex, is a rare genetic condition that causes mainly non-cancerous (benign) tumours to develop in different parts of the body. The tumours most often affect the brain, skin, kidneys, heart, eyes and lungs.
NHS
Paralysis
Paralysis
Paralysis is loss of the ability to move one or more muscles. It may be associated with loss of feeling and other bodily functions. It is not usually caused by problems with the muscles themselves, but by problems with the nerves or spinal cord the brain uses to control muscles
NHS
Intracranial hypertension
Intracranial hypertension
Intracranial hypertension (IH) means abnormally high pressure inside the skull, which may happen suddenly or build up over time. It's an uncommon condition, with many different possible causes.
NHS
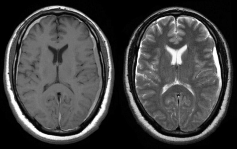
Hydrocephalus
Hydrocephalus
Hydrocephalus is a build-up of fluid on the brain. The excess fluid puts pressure on the brain, which can damage it. The damage to the brain can cause a wide range of symptoms, including: headache being sick
NHS
Minor head injury
Minor head injury
Minor head injuries are common in people of all ages and should not result in any permanent damage. The symptoms of a minor head injury are usually mild and short lived. Symptoms may include:
NHS
Loading...
?
Ask Question
AboutMyClinic
SmartSite created on AboutMyClinic.com
Site-Help | Disclaimer
Disclaimer: The information provided here should not be used during any medical emergency or for the diagnosis or treatment of any medical condition. The information is provided solely for educational purpose and should not be considered a substitute for medical advice.